板橋区上板橋駅の歯医者 ミント歯科・矯正歯科 上板橋では、
正確な診断と治療を支えるための先進医療機器を取り揃えています。
また院内感染防止のための衛生設備や、患者さんの痛みや負担を軽減するための治療機器を導入しています。
digital

広範囲の撮影が可能なCT(3D撮影)機器です。3D撮影によって多角的な診断が実現し、親知らずの抜歯やインプラント治療、根管治療などの複雑な治療を安全・正確に行うことができます。デジタル方式を採用しているため低被ばくで、被ばく量は従来の機器と比べて大幅に減少しています。

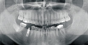
パノラマレントゲン(2D)撮影

歯科用CT(3Dレントゲン)撮影

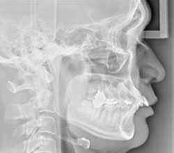
セファロ(側面)

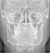
セファロ(正面)

特殊なカメラを使って口腔内をスキャンして様々な角度から撮影し、3D画像データを採取します。当院では歯型採取を迅速かつ快適に行うために、口腔内スキャナーを2台導入しています。1台はマウスピース矯正(インビザライン)に、もう1台は詰め物や被せ物の治療に使用します。
非常に高い精度を持ち、撮影時間も短いため、従来の印象材を使った歯型採取に比べて患者さんの負担が大幅に軽減されます。またインビザラインと連携できるiTeroを使うことで、治療前後のシミュレーションも可能です。

型取りの不快感を
軽減
従来の粘土のような
印象材(歯型材料)不使用

すぐに目で
確認できる
スキャンした画像を
その場のモニターで確認

技工物の精度が
上がる
模型と違い変形・破損せず
高精度な矯正装置や補綴物に

スムーズな
治療
模型の制作・輸送が不要で
技工物完成まで期間短縮
clinical

肉眼では見つけられない問題も、歯科用顕微鏡であるマイクロスコープを使うことで、発見・治療が可能となります。
明るい視野と色再現性、優れた像質を備えており、肉眼では見落としがちな部分を捉え、治療精度を大幅に向上させます。
またむし歯をピンポイントで治療することが可能となるため、健康な歯を余分に削らずに必要最小限の切削で治療することができます。

診断の向上
肉眼で発見しにくい
小さなむし歯や異変を
早期治療

歯の保存
精密な根管(神経)の治療や
切削量の軽減が可能に

高精度な治療
適合精度を高め、
詰め物・被せ物を美しく仕上げる

幅広い治療で活躍
インプラントや根管治療、
審美修復治療などに貢献


多くの患者さんは、歯科医院に来る際にご不安を抱えていると思います。そこで少しでもご不安を和らげて歯科治療への抵抗感を軽減するために、板橋区の歯医者 ミント歯科・矯正歯科 上板橋では「痛みの少ない治療=無痛治療」に取り組んでいます。



神経まで達するほど進行した重度のむし歯に対して行う歯の根の治療「根管治療」は、肉眼では患部を把握しづらいことから再発リスクや治療後のトラブルが起こりやすいです。上板橋駅の歯医者 ミント歯科・矯正歯科 上板橋では、曖昧な判断に頼らず、マイクロスコープなどの先進機器を活用して治療精度を向上させています。



患者さんのお口にぴったり合う詰め物と被せ物・入れ歯をご提供するために、上板橋駅の歯医者 ミント歯科・矯正歯科 上板橋では、高精度なデジタル印象によって口腔内データを取得しています。さらに法人所属の歯科技工士が、補綴物の設計から製作までを法人内で完結させています。





hygiene

板橋区上板橋駅の歯医者 ミント歯科・矯正歯科 上板橋は、院内感染予防を徹底しています。この装置は、定められた温度と圧力の飽和水蒸気を生成することで、治療器材を加熱して滅菌することができます。
歯周外科やインプラント等の外科的処置など進化し続ける歯科医療において、治療器材を介して起こる交差感染を防止するためにも、より高い滅菌の質が求められています。そのため高圧蒸気滅菌器(オートクレーブ)は、医療機関にとって欠かせない滅菌装置の一つです。


