インプラント

implant

*
*
*
*
*
*

第二の永久歯
お口の機能を取り戻す

歯を失ってしまうと見た目や食事の咀嚼に影響を及ぼすだけでなく、
放置すると歯が空いたスペースを埋めようと隣の歯が傾いてしまい、
咬み合わせが大きく歪む可能性があります。

板橋区の歯医者 ミント歯科・矯正歯科 上板橋では、
失った歯をインプラントで取り戻し、お口のバランスを再構築します。

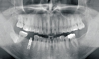
インプラント治療

上部構造(人工歯)・アバットメント(土台)・インプラント(人工歯根)
ご自身の歯を守りながら新しい歯を手に入れる
インプラント=人工の歯と考えている患者さんが多いですが、実際には歯肉に埋め込む人工的な歯根の部分をインプラントと呼びます。インプラントを埋め込んだ上からアバットメント(土台)を取り付け、最終的に人工歯を装着することで歯の見た目と機能を取り戻すことができ、その有用性から「第二の永久歯」とも呼ばれています。インプラントは新しい歯を支えるための最も重要なパーツなのです。

当院のインプラント治療の特長

アストラテック社/オステム社
実績のあるインプラントメーカーを使用
板橋区上板橋駅の歯医者 ミント歯科・矯正歯科 上板橋では、2つのインプラントメーカーを取り入れています。1つ目は世界トップ3に入る「アストラテック社のインプラント」で、高いシェアと実績を誇り信頼性があります。
2つ目は 「オステム社のインプラント」で、アジア・太平洋地域でのシェアが非常に高く、アジア人の骨格に最適化された設計が特徴です。
当院では、患者さんの口腔状態や予算に応じて、一人ひとりにより適切なインプラントをご提案しています。

安心・安全なインプラント治療をご提供するために

    • 埋入シミュレーションシステム
      CTデータをパソコンに取り込み、インプラントの埋入位置を正確にシミュレーションします。また、インプラント埋入を支援するためのサージカルガイドも作成しています。
      *
    • 一歯〜多数歯欠損まで対応
      インプラント体が1本から複数本必要な、インプラントオーバーデンチャーやAll-on-4/All-on-6にも対応しています。状況によっては抜歯後すぐのインプラント施術も可能です。
      *
    • 静脈鎮静法
      インプラント治療の際には、不安や恐怖を軽減する「静脈鎮静法」に対応しています。これにより、安心して治療を受けられる環境を整えています。
      *
  • *
    難症例にも骨造成で対応
    インプラント治療を希望される方で、顎骨が不足していて施術が難しい場合、上板橋駅の歯医者 ミント歯科・矯正歯科 上板橋では骨の再生手術をご提供。患者さんの顎の状態に応じて適切な手術方法は異なるため、まずはお気軽に当院にご相談ください。

    骨造成について

  • インプラント10年保証
    10年保証付きインプラント
    当院では、国内初の治療保証をご提供する第三者保証機関「ガイドデント社」と提携することで、ご希望の患者さんにインプラント10年保証に加入できる体制を整えています。
    術後は定期検診の受診が条件となりますが、インプラントを長期間安心して使用するためのサポートが受けられて安心です。

    インプラント保証について

インプラントと従来の
治療法の比較

*
患者さんにより適した治療法をご提案
従来の治療法としてはブリッジや入れ歯が一般的でしたが、これらには噛み心地や見た目に関する問題があり、健康な歯を削らなければならないというデメリットがありました。
そこでインプラント治療ならば見た目を損なわず、ご自身の歯のようにしっかり噛むことができ、健康な歯を削る必要がないというメリットがあります。
ただしインプラント治療にもデメリットは存在しますので、患者さんの重視する点によって推奨する治療法は異なります。当院ではカウンセリングを通じて、患者さんの希望をしっかりとお伺いし、その上でより良い治療法をご提案いたします。
インプラント
*

メリット

  • 人工歯根と顎骨がしっかり適合し、天然歯のような噛み心地を実感
  • 周囲の健康な歯を傷つけない
  • 天然歯とほぼ同等の審美性

デメリット

  • インプラント埋入には外科手術が必要
  • 保険適用外のため、費用負担が大きい
  • 治療期間が長くなる
入れ歯
*

メリット

  • 選択する素材次第では、見た目の美しさを叶えられる
  • 外科手術は不要
  • 保険診療の入れ歯も選べる

デメリット

  • 入れ歯によっては食事が不便に感じる
  • 汚れが蓄積しやすく、むし歯リスクが高い
  • 部分入れ歯の金属留め具は目立ちやすい
ブリッジ
*

メリット

  • 選択する素材次第では美しい見た目も実現できる
  • 外科手術は不要
  • 噛み心地が安定する

デメリット

  • 天然歯を削る必要があり、支えとなる隣接歯への負担が大きい
  • 汚れが蓄積しやすくむし歯リスクがある
  • 残存歯数によっては適応不可

料金表について

インプラント治療の流れ

  • STEP1

    *
    インプラント相談
    上板橋駅の歯医者 ミント歯科・矯正歯科 上板橋では、インプラント治療を開始する前に患者さんへのカウンセリングを実施しています。
    インプラント治療についての不安や疑問、相談したいことなど、どんなことでもお気軽にお話しください。
  • STEP2

    *
    診査と治療計画
    顎全体の骨量や口腔の状態を把握するために、CTを用いて詳細な検査を行います。
    データを収集した後、シミュレーションソフトを活用して、インプラント埋入を支援するサージカルガイドを作成します。
  • STEP3

    *
    インプラント体埋入と
    治癒期間
    麻酔を施し、インプラント体を埋入します。その後、インプラント体と骨がしっかり結合するまで一定の治癒期間を設けます。この期間中は、通常通りの生活が可能です。
    また患者さんの状態によっては、インプラント埋入を2回に分けて行う方法を選択することもあります。
  • STEP4

    *
    アバットメント(支台)の
    装着
    十分な治癒期間を設け、インプラント体と骨がしっかり結合したことを確認したら、次にアバットメントの装着を行います。
    アバットメントはインプラントと人工歯をつなぐ役割を果たし、患者さんに合わせたデザインを選びます。
  • STEP5

    *
    人工歯の装着
    装着したアバットメントにフィットするよう、患者さんの歯の形や色に合わせた人工歯を作成します。
    その後、口腔内にぴったり合うことを確認し、インプラント体の上に取り付けます。
  • STEP6

    *
    治療後の歯磨きと定期検診
    インプラント体自体はむし歯にはなりませんが、それを支える歯茎が歯周病になると、インプラントが抜けるリスクがあります。そのため定期的な検診を受けていただき、クリーニングや正しいセルフケアを行い、インプラントを長持ちさせるための口腔環境を整えていきましょう。

    予防歯科について